Metastázy v hlavě. Symptomy, příznaky, léčba, prognóza délky života

Mozkové metastázy jsou sekundární novotvary v mozku, které vznikají v důsledku pohybu rakovinných buněk z primárního místa onemocnění. Metastázy se objevují jako komplikace onkologických novotvarů. Téměř všechny rakovinné nádory mohou způsobit metastázy v mozku, ale existují i typy onkologie, které metastázují mnohem častěji.
Rezervujte online Získejte konzultaci
Specialisté TomoClinic pomohou ovlivnit metastázy jakékoli velikosti, jakmile je dokážeme diagnostikovat v mozku. Je známo, že rakovina postihuje hlavu ve formě jednotlivých nebo více metastáz a pouze naše klinika má vybavení, které nám umožňuje pracovat současně s několika novotvary a vybrat potřebnou radiační zátěž pro každý z nich. Inovativní technologie a zkušenosti radiologů nám umožňují zvolit nejúčinnější léčbu s minimálním dopadem na zdravé orgány a mozkovou tkáň, která dává nejlepší prognózu.
Alla Kukhar – Radiolog (radioterapeut) první kategorie TomoClinic
Co je mozková metastáza?
Mozkové metastázy jsou sekundární novotvary v mozku, které vznikají v důsledku pohybu rakovinných buněk z primárního místa onemocnění. Metastázy se objevují jako komplikace onkologických novotvarů. Téměř všechny rakovinné nádory mohou způsobit metastázy v mozku, ale existují i typy onkologie, které metastázují mnohem častěji. Nejčastěji jsou metastázy v hlavě tvořeny nádory:
- ledviny.
- Snadné
- Střeva.
- Mléčné žlázy.

Přibližně 50 % všech nádorů jsou metastatické patologie v mozku, které pocházejí z novotvarů v plicích.
Ve 30 % případů je příčinou mozkových metastáz rakovina prsu u žen. Obvykle se metastázy v mozku vyvíjejí u lidí ve věku 45-70 let, to znamená u starších lidí. Je nutné poznamenat, že metastázy se vyvíjejí téměř ve stejném procentu u žen a mužů, ale zároveň se některé typy rakoviny vyskytují několikrát častěji u silnějšího pohlaví. Existují také typy metastáz, které postihují tělo samic.
Například u rakoviny plic jsou nejčastěji postiženi muži, zatímco rakovina prsu se vyskytuje především u žen.
Příznaky
Hlavní příznaky, že rakovina postihla mozek, jsou následující:
- Bolesti hlavy.
- Epileptické záchvaty.
- Vysoký intrakraniální tlak.
- Zvracení a nevolnost.
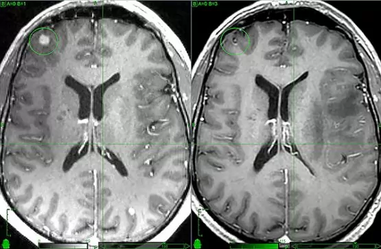
K diagnostice metastáz postihujících mozek se používají moderní diagnostické metody jako CT nebo MRI. V tomto případě se MRI provádí s kontrastem. Je třeba si uvědomit, že čím dříve bude stanovena diagnóza a zjištěny metastázy, tím dříve budou moci specialisté pacientovi předepsat individuální léčebný plán, který bude využívat co nejšetrnější terapeutické postupy. Navíc existuje reálná šance dosáhnout určité regrese neurologických příznaků.
Čím dříve je diagnóza stanovena, tím vyšší je šance na úplné uzdravení. Proto, jakmile se objeví negativní příznaky, musíte neprodleně podstoupit vyšetření v moderním lékařském centru. V TomoClinic poskytnou specialisté kliniky objektivní posouzení stavu během terapie nebo po ní, a to jak pacientům TomoClinic, tak těm, kteří se přihlásili z jiných lékařských center. Klinika diagnostikuje a léčí primární i sekundární nádorová onemocnění.
Diagnostika metastatického procesu v mozku
Je nesmírně důležité detekovat onkologický maligní proces v mozku v rané fázi, protože na něm závisí metody a výsledky terapie. Abychom pochopili, zda je postižen mozek a zda se vytvořily metastázy, používají se následující možnosti výzkumu:
- Zobrazování magnetickou rezonancí. Při provádění MRI dostává lékař vrstvené obrazy vnitřních orgánů vysoké úrovně kvality a přesnosti. Po vyšetření pomocí PC a různých nainstalovaných programů jsou informace zpracovány a diagnostikována specialisty.
- Počítačová tomografie. CT vyšetření může také pomoci určit, kdy se rakovina rozšířila do mozku. Počítačová tomografie se provádí pomocí rentgenového zařízení, lékaři získávají snímky orgánů a tkání vrstvu po vrstvě.
- Pro diagnostiku se také daruje krev, provede se biochemie a odebere se biopsie pro další histologické vyšetření.

Radiační terapie mozkových metastáz
Kromě jiných metod léčby rakoviny využívá TomoClinic metodu tomoterapie. Tomoterapie je nejpřesnější ovlivnění nádoru a maximální ochrana blízkých orgánů a tkání. Když jiné metody selhaly nebo bylo dosaženo kritické radiační dávky, TomoTherapy® dosahuje svých cílů zabíjením rakovinných buněk.
Léčba radiační terapií
Podstatou radiační terapie je, že ionizující záření zcela ničí metastázy. Součástí systému je tzv. okvětní kolimátor, který zodpovídá za přesnost dávkování v postižených tkáních lidského těla. Proto jsou blízké orgány chráněny před možným zářením. Kurz radiační terapie se skládá z přibližně 10-30 sezení, z nichž každé trvá přibližně 20 minut. Tato metoda dokáže vyléčit mnoho typů nádorů.
Mozkové metastázy lze léčit radiochirurgií, ale nejúčinnější léčbou je radiační terapie. Je důležité pochopit, že taková léčba se používá pouze v případech, kdy jsou metastázy malé velikosti.
Pro pacienta je vytvořen maximální komfort, protože během léčby je umístěn v pohodlné poloze a je zde úplná absence bolesti a psychického nepohodlí.
Jakmile se objeví negativní příznaky, je důležité okamžitě kontaktovat lékaře, kteří diagnostikují metastázy a předepisují účinnou léčbu. Pouze v tomto případě můžeme počítat s pozitivní prognózou.
Více informací o tomoterapii, vybavení našeho centra, specialistech kliniky a léčebných metodách naleznete na našich webových stránkách nebo nám zavolejte.
TomoClinic: pojďme společně porazit rakovinu.
Léčebné protokoly
Chcete-li si prohlédnout mezinárodní léčebné protokoly od ESMO a NCCN, můžete kliknout na odkaz (zaregistrovat se, stáhnout PDF) a dozvědět se více o terapii mozkových metastáz: